炭黑尘肺的危害和表现
炭黑尘肺是尘肺病的一种,是生产和使用炭黑的工人长期吸入较高浓度的炭黑粉尘所引起的一种职业病。j9.com了解到,《中华人民共和国职业病防治法》的规定,职业病是指企业、事业单位和个体经济组织的劳动者在职业活动中,因接触粉尘、放射性物质和其他有毒、有害物质等因素而引起的疾病。
炭黑是由液态或气态的碳化氢不完全燃烧产生,或以石油、沥青、天然气、松脂、焦炭等为原料经炉内燃烧后取其烟制成。
炭黑为无定形结晶体,含碳90%~99%,极少或不含其它物质,游离二氧化硅含量仅0.5%~1.5%。粉尘粒径极小,质轻,极易飞扬。炭黑主要用于橡胶工业,其次用在塑料,油漆、印刷油墨、墨汁、唱片、电极制造、颜料及冶金等工业。后来虽然炭黑已是密闭化、自动化生产,但粉尘飞扬现象仍然存在。因此,在炉前、回收、分离室、加工和包装等工序的工人,经常接触炭黑粉尘。炭黑粉尘进入肺内,在肺间质的细支气管、小血管周围形成伴有少量胶原纤维的炭黑粉尘灶及灶周肺气肿。炭黑尘肺的发病工龄约15年。
炭黑尘肺的形成和表现:
一、患者有长期接触炭黑粉尘的职业史。
二、患者的临床表现为:
1. 早期症状和体征多数不明显,主要有气急、胸痛、咳嗽、咯痰。进展比较缓慢,一般不影响劳动能力。
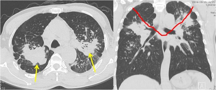
2. 胸部X线表现:以密度较低的类圆形小阴影为主,直径多小于1.5mm,广泛分布各肺区,也可有不规则小阴影。偶有3mm大小密度较低的阴影。可有程度不同肺气肿及胸膜改变。很少有大阴影。国内仅见到I、II期,III期极少见。炭黑尘肺I期表现:有一不定期量密度较低的,肯定的类圆形小阴影,肺纹理尚可辨认。II期:有多量的密度较低的类圆形小阴影,分布范围超过4个肺区,肺纹理通常部分消失。或有很多量的小阴影,分布范围达到4个肺区,肺纹理通常消失。
3. 肺功能检查:可有阻塞性为主的通气功能障碍和程度不同的肺气肿。
可能会患病的行业举例:
(1)纸及纸制品业:涂料配制、色浆制取
(2)文教体育用品制造业:色带备料
(3)其他基本化学原料制造业:炭黑制备、造粒
(4)日用化学产品制造业:火柴制浆
(5)橡胶制品业:橡胶配料、混炼
(6)耐火材料制品业:耐材配料、成型
(7)石墨及碳素制品业:碳素粉碎、配料、煅烧、筛分、成型、冷却、整理、包装
(8)稀有金属冶炼业:碳化钨制备、复式碳化钨制备、铌制取
(9)电气机械及器材制造业:锌锰电池备料、电池芯制配、炭棒混粉、电缆电线挤压
j9.com提醒企业要为了员工的健康做好安全作业的环境,规定员工作业的安全操作,职工在操作过程中要做好安全措施,佩戴好防护口罩;若有不适,要尽快就医,切记不要乱投医。
 
来源:安全管理网
